Revolutionize Diagnostic Imaging with Portable, Low-field MRI
A Groundbreaking Innovation Transforming the Future of MRI Technology.
AxessDr brings compact, low-field, portable, energy efficient, affordable, and accessible MRI machines
At AxessDr, we envision a world where advanced medical imaging is universally accessible, breaking geographic and economic barriers to ensure timely, accurate diagnoses: empowering healthcare professionals and saving lives, anytime, anywhere, for everyone
Challenges with Traditional MRI Systems
High Cost
Traditional MRI machines are expensive, typically ranging from $1-3 million, with substantial operational and maintenance costs. This makes them unaffordable for many healthcare facilities, particularly in low-income nations.
Bulky Size and Space Requirements
MRI machines are large and require specially designed, shielded rooms,
making installation difficult in smaller or rural healthcare centers, both in developed and developing
countries.
Limited Mobility
Traditional MRI machines are stationary and non-portable, limiting their use to large hospitals and imaging centers. This creates access challenges for emergency
care and remote areas where patients cannot easily travel to such facilities.
High Power and Infrastructure Needs
MRI systems require significant power and specialized infrastructure, such as liquid helium cooling systems and uninterrupted power sources, which are unavailable in many resource- limited settings and rural regions.
Complex Installation and Setup
vSetting up an MRI machine involves
extensive construction, cooling systems, and precise calibration. This complexity increases costs and limits their deployment to areas
with advanced infrastructure, leaving many regions underserved.
Limited Mobility
Global disparity in the availability of MRI machines is stark. High-income nations have abundant access, while low- and middle-income countries often have very few MRI systems, if any.
AxessDr MRI - Overcomes these Challenges
AxessDr portable MRI overcomes these limitations with a low-power, portable design, making advanced imaging more accessible, cost-effective, and convenient for patients
Our NextGen Portable MRI machine
- Compact, lightweight MRI system designed for both traditional and new settings.
- Powered by permanent magnets, eliminating the need for bulky cryogen cooling systems used in conventional MRIs.
- Provides high-quality imaging at a fraction of the cost and size of traditional MRI machines.
- Runs on batteries
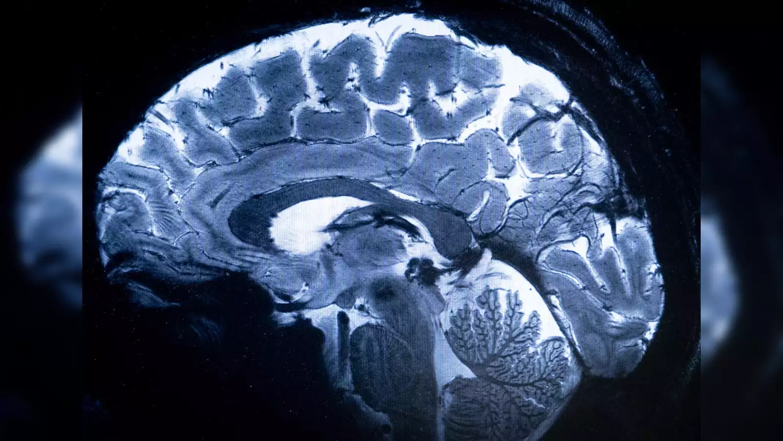
- Low magnetic field yet diagnostic-quality images for brain, musculoskeletal, and soft tissue scans comparable to 1.5T machines
- Cost effective
Introducing the Future of Imaging
AxessDr’s revolutionary low-field MRI machine brings the future of imaging to you. Designed with cutting-edge permanent magnet technology, it offers portable, energy-efficient, and cost-effective imaging—making MRI accessible anytime, anywhere
The AxessDr Solution
Technical & Design Innovations
- Affordable: Costs significantly less than traditional MRI machines, making it accessible to more healthcare providers.
- Compact and Lightweight: Fits in small spaces, enabling installation in ambulances, clinics, and remote healthcare centers.
- Efficient: Runs on standard electrical outlets with minimal power requirements.
- Regulatory & Safety Compliance: Engineered to meet global medical standards .
- Mobile: be easily transported to various locations, providing on-site imaging wherever needed.
- Green: Reduces carbon food print
.
How does it Work?
What makes AxessDr MRI unique? How does it ensure accuracy? Is it suitable for all imaging needs? What are its cost, power, and space benefits? How does AI enhance imaging quality?
Key Attributes of AxessDr MRI Machine
- Magnet System: Permanent magnet technology used, eliminating the need for liquid helium and high-power consumption
- RF & Signal Processing: Optimized low-field MRI technology with Innovative algorithm-driven data acquisition and processing.
- Advance Image Reconstruction: Innovative algorithm and hardware accelerators, driven imaging enhances scan quality, compensating for lower field strength while providing precise and reliable diagnostic results comparable to traditional MRI systems. No AI was used.
- SNR reduction: Innovative noise reduction algorithms refine images, improving clarity and diagnostic accuracy while compensating for lower magnetic field strength limitations.
- Versatility: Ideal for musculoskeletal, neurological, and certain soft tissue imaging.
- Scalability & Customization: Adaptable for various clinical and emergency applications.
- Cost and Power Efficient: reduces operational costs, battery drive, requires minimal power, and fits in smaller spaces, making it ideal for clinics, rural healthcare, and point-of-care diagnostics..
Competitive Advantage
Cost-Effective Solutions
Much lower costs as compared to traditional MRI machines, both in terms of initial investment and operational expenses. This affordability makes it attractive to small hospitals, clinics, and low-resource environments.
Faster Return on Investment (ROI)
Rapid setup and deployment mean quick access to diagnostics, reducing wait times and improving patient outcomes
Rapid Imaging and Diagnosis
Emphasizing faster scan times and quick imaging capabilities can be a significant advantage, particularly in emergency situations where timely diagnosis is critical for patient outcomes.
Telemedicine/ Remote Consultations
Integrates with telemedicine platforms, allowing real-time data transmission, enabling specialists to provide insights and diagnostics without being on-site. T
Flexible Power Options
Our machines can operate with various power sources, including battery power, making it suitable for deployment in areas with limited access to electricity, enhancing its versatility for emergency and remote use.
Robust Support and Training
We offer extensive training programs and technical support for healthcare providers which ensures that users are fully equipped to operate the machines effectively.
Customization and Adaptability
We are focussed on sustainable product design, development and manufacturing processes and environmentally friendly materials
Collaboration and Partnerships
Building strategic partnerships with healthcare organizations, research institutions, and NGOs can enhance credibility and foster innovation, creating a network that supports the growth and reach of the product
Global Reach
Designed to operate in any setting with minimal infrastructure.
Compact and Lightweight Design
compact and lightweight design enables easy transport and setup, allowing healthcare providers to utilize the system in various environments, including field hospitals, ambulances, and rural clinics.
Patient Safety and Comfort
Operates at lower magnetic field strengths, thus safer for patients with implants and enhancing comfort, especially for pediatric and elderly patients.
Data-Driven Insights with AI Integration
AI-powered diagnostics can improve diagnostic accuracy and efficiency, providing healthcare professionals with actionable insights and helping in the automation of image interpretation.
Commitment to Global Health Equity
Our mission is to address global healthcare disparities and improving access to diagnostic imaging in low-resource settings.
Regulatory Approval, Quality Assurance
Our products meet global regulatory standards and come with necessary certifications. We adhere to best-in-class industry standards for design, development, and manufacturing of the machines.
Sustainability and Eco-Friendliness
Our products meet global regulatory standards and come with necessary certifications. We adhere to best-in-class industry standards for design, development, and manufacturing of the machines.
Market Potential & Growth Opportunity
The global MRI market is valued at $X billion and growing at a CAGR of X%, yet accessibility remains a major challenge. AxessDr’s portable, low-power MRI addresses critical gaps in hospitals, rural healthcare, emergency response, and telemedicine, unlocking a vast untapped market. With scalability, cost-effectiveness, and innovative algorithm-driven imaging,
T

The global MRI market
The global MRI machine market was valued at USD 7.41 billion in 2023 and is projected to grow to USD 12.20 billion by 2032, with a compound annual growth rate (CAGR) of 5.8% during the forecast period

Addressable Market for Portable MRI
hospitals, rural healthcare, emergency medicine, military, and telemedicine. Market expansion as new users start buying.

Competitive Edge
AxessDr outperforms traditional MRI with Patented hardware and software design, true portability, low power use, cost efficiency, innovative algorithm-based enhanced imaging, and wider accessibility,.
AxessDr can transform MRI Usage
AxessDr’s portable, low-power design makes MRI more affordable, accessible, and convenient, revolutionizing diagnostics in hospitals, clinics, and remote areas.
Comfort for Claustrophobic Patients
The open design and ergonomic features help reduce anxiety and discomfort, especially for patients with claustrophobia.
Minimal Training Required
Its user-friendly interface ensures that healthcare professionals can operate the MRI efficiently with minimal training.
Access in Remote Areas
Portable and easy to deploy in remote or underserved areas, improving diagnostic access where traditional MRI machines are impractical.
Faster Production and Deployment
Easier and more cost-effective to produce, allowing for larger-scale manufacturing and addressing global MRI shortages.
Adaptable for Various Settings
Versatile design supports use in diverse environments, including emergency rooms, sports facilities, and mobile clinics.
Home Usage
Can be used in home care settings, offering convenience and accessibility for critical trauma care patients who need MRI imaging without leaving their homes.
Expanding MRI Accessibility with AxessDr
Some Use Cases for Our MRI Machine
This is unbelievable! A truly portable MRI with low power consumption? This could revolutionize medical imaging, making scans more accessible and affordable. The potential for global healthcare impact is enormous!
AxessDr Investor
Be part of this groundbreaking transformation in medical technology. Invest today and help bring accessible MRI to the world!
🔹 Scalable & Cost-Effective 🔹 Revolutionary Low-Power Design 🔹 Expanding Global Healthcare Access . Join us in shaping the future of medical imaging!
AxessDr AI Diagnostics Platform
AxessDr AI Diagnostics Platform is an intelligent software platform that assists clinicians and radiologists in analyzing MRI scans faster and with greater confidence. The system uses advanced AI algorithms to process MRI images, highlight potential abnormalities, and provide structured diagnostic insights. Built on a secure cloud platform, it enables seamless access, collaboration, and efficient imaging workflows.

AI assisted MRI image analysis

Automated anomaly and pattern detection

Easy integration with PACS and hospital imaging workflows

Secure cloud based processing and storage

Integrated DICOM image viewer

Compatible with standard MRI systems and AxessDr low field MRI





